Prečo je zdravie našich zubov dôležité?
Ako odborníčka sa často stretávam s tým, že zdravie našich zubov nezíska veľkú dôležitosť, kým sa neobjaví vážnejší problém – napríklad bolesť, zápal alebo alergická reakcia. Spomínam si, že rodičia mi často pripomínali, aby som si dávala pozor na oči, tvár, srdce, kĺby, ale aby som sa starala o zuby, to akosi nepadlo. Samozrejme, večerné umývanie zubov a obmedzenie sladkostí sa snažili dozerať, ale zdalo sa, že tomu nepripisujú až takú váhu.
A predsa by bolo veľmi dôležité už malé deti viesť k takému povedomiu, ktoré pristupuje k nášmu organizmu ako k celku, ako k prepojenému systému. Holistický prístup, v ktorom platí, že ak sa nestaráme o zdravie ústnej dutiny, tak týmto spôsobom nedbáme ani napríklad o srdce, imunitný systém či kĺby. Často sa mi vybaví obraz mojich starých rodičov, tety alebo strýka, ktorí sa v mojich spomienkach usmievajú bez zubov. Zuby sú predsa rovnako súčasťou tela na celý život ako oči, uši či prsty. Nemali by vypadávať predčasne. Samozrejme, kedysi nebolo ani zubná kefka, ani zubná pasta, nieto ešte medzizubné pomôcky, ale buďme úprimní — vtedy sme tiež nekonzumovali toľko rafinovaných a spracovaných potravín. Žuť a samotné žutie pomáhalo prirodzenému samočisteniu ústnej dutiny. Dnes vďaka prevarenej strave a menšej konzumácii zeleniny a ovocia úloha žutia ustúpila do úzadia.
Rák Borbála, klinická dentálna hygienička

Vyrastala som v malej dedine, kde som už ako dieťa pochopila, čo všetko znamená, keď človeka obklopuje láskyplná starostlivosť a pozornosť. Táto atmosféra potom formovala aj môj pohľad do budúcnosti — cítila som, že zdravotníctvo je oblasť, v ktorej sa môžem nájsť a prinášať druhým to, čo som sama.
Hoci sa v roku 2006 môj život vyvíjal tak, že som musela dočasne odložiť priamu zdravotnícku dráhu, vždy som vedela, že to je prechodná situácia. V roku 2017 som s už istým zázemím moju túžbu slúžiť ľuďom v zdravotníctve opäť postavila do popredia.
Ako zubná asistentka a neskôr dentálna hygienička som sa mohla učiť od najlepších odborníkov priamo a samozrejme učenie pokračuje stále — naše odvetvie je jedným z najdynamickejšie sa rozvíjajúcich v rámci lekárskych odborov.
Verím, že pekným úsmevom dokážeme komunikovať bez slov, čo je v dnešnom svete nielen potrebné, ale i čoraz viac žiadané. Mojím cieľom je upriamiť pozornosť na význam zubných ošetrení, najmä profesionálnych čistení v ambulancii a odstránenia zubného kameňa.
Dnes si myslím, že mnohí z vás už zažili, že úroveň verejných zdravotníckych služieb nemusí vždy poskytovať upokojujúce riešenia. Súkromné zdravotníctvo zase značne zaťažuje rodinný rozpočet. V stomatológii to nie je inak.
Namiesto toho, aby som rozoberala, prečo sú napríklad stomatologické zákroky drahé, chcem skôr upozorniť, že dlhodobo najúspornejším riešením problémov v ústnej dutine je pravidelné profesionálne čistenie a vyšetrenie v ambulancii — ideálne už od detstva.
Keď však dôjdete do štádia, že vás bolia zuby, ďasná alebo čeľusť, beriete to už ako jasný signál od tela, že niečo nie je v poriadku — je vhodné obrátiť sa na odborníka, na zubára. Treba však dodať, že mnohí ani vtedy nezískajú odvahu navštíviť stomatológa, čo môže krátkodobo viesť k trvalejším, celotelovým bolestiam, zápalom alebo dokonca závažnejším orgánovým poruchám. Cievy prepletajúce ústnu dutinu totiž dokážu previesť nahromadenú bakteriálnu flóru, ich toxíny a metabolity krvou do susedných aj vzdialenejších orgánov, čo môže vyvolať somatické reakcie, zosilnenie latentných ochorení alebo zhoršenie už existujúcich symptómov.
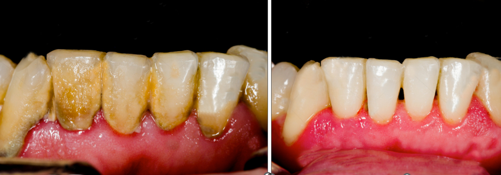
Ešte náročnejšia je situácia, keď v ústach nie sú žiadne zjavné príznaky. Pretože väčšina ľudí venuje prekvapivo málo času správnej ústnej hygiene a jej pravidelnej kontroly odborníkom, môžu sa zuby a obklopujúce ďasná zmeniť z bezpríznakového stavu na chronické ochorenie zo dňa na deň — čo si vyžaduje nekonečnú trpezlivosť, pokoru a energiu na zvládnutie aj liečbu. A samozrejme, vtedy už často aj značné finančné náklady. Často počujem od pacientov, že majú šťastie, lebo neboli u zubára 10 rokov, teraz prišli len preto, že občas cítia bolesť na niektorých miestach alebo že im poslednou dobou viac krvácajú ďasná. Alebo že zdedili zuby po otcovi, ktorý má aj v 70 rokoch skoro všetky zuby a nič ich nebolí — majú síce zubný kameň, ale vôbec ich nič nebolí. Vtedy už sa sama hnevám, čo to nájdem v ústach. Masívny zubný kameň nahromadený počas mnohých rokov je jedným z najväčších nepriateľov nielen zubov, ale aj ďasien, kostí a celkového zdravotného stavu. V takomto štádiu sa v ústach vytvorí veľmi výrazný biofilm, bakteriálna flóra, ktorú destabilizovať a neutralizovať trvá roky vytrvalej práce. Medzitým tieto baktérie už roky infikujú ďalšie orgány tela, oslabujú imunitu a pôsobením na oporné tkanivá zubov môžu aj zdanlivo zdravé zuby vypadávať.

A pritom recept na dobrú ústnu hygienu je veľmi jednoduchý.
Pomáhajú dve veci: pravidelné a správne čistenie zubov a pravidelné profesionálne ošetrenia ústnej hygieny v ambulancii. Tieto dve veci sa nedajú navzájom nahradiť, dopĺňajú sa — obe sú rovnako dôležité a potrebné. Počas mojich ošetrení sa zameriavam nielen na odstránenie zubného kameňa, ale aj na stále viac preukazovanú účinnosť riadeného odstraňovania biofilmu.
Biofilm, tá tenká vrstva bakteriálneho povlaku, ktorý je okom neviditeľný, dokáže výrazne ovplyvniť zloženie ústnej flóry — jej náchylnosť na zubný kaz alebo parodontálne ochorenie. Odstránený biofilm sa síce už o pár minút znova vytvorí na povrchu zubov, avšak tým, že ho pravidelne odstraňujeme, dávame telu šancu udržať baktérie v rovnováhe podľa aktuálneho stavu imunitného systému, a tým je ústna mikroflóra vyváženejšia. Áno, rovnováha je kľúčová aj v ústnej dutine.
Pri každom čistení v ambulancii poskytujem pacientom na mieru prispôsobené praktické tipy a nápady, ako si ešte viac zlepšiť dennú domácu ústnu starostlivosť. Pretože dobre si vyčistiť zuby nie je také ľahké, ako by sme si mysleli. Ako často hovorím, čistenie zubov je pre zuby to isté, čo dobrota pre dušu.
V niekoľkých riadkoch musím spomenúť aj prípady, keď pacient pravidelne navštevuje stomatológiu, no zuby mu napriek tomu vypadávajú alebo ich stav nie je uspokojivý.
Bohužiaľ som pri prvom stretnutí počula od niektorých pacientov vety ako: napríklad, že pred tromi týždňami im odstránili zubný kameň (hoci zubný kameň bol zjavne dlhodobý, nie trojtýždňový), alebo že im nedávno plombovali zub a lekár povedal, že je všetko v poriadku (a pritom sú ešte niektoré zuby zubným kazom postihnuté), alebo že pacient má chronické ochorenie parodontu, ktoré sa napriek dlhoročným pravidelným návštevám u stomatológa nepodarilo diagnostikovať. Moja oddanosť profesii mi nedovolí túto problematiku hodnotiť osobným spôsobom, ale myslím, že rovnako ako v iných zdravotníckych odboroch, aj v stomatológii treba mať otvorené oči a byť flexibilný. Musíme si nájsť vhodného lekára alebo dentálnu hygieničku, pri ktorých cítime, že im môžeme s pokojom zveriť svoje zdravie — nielen odborne, ale aj ľudsky.
Najväčším nepriateľom zdravého parodontu je teda dlhodobo pretrvávajúci povlak a zubný kameň okolo zubov. Zubný kameň vzniká z povlaku, ktorý zostane na zuboch, a z minerálnych látok rozpustených v slinách. Drsný povrch zubného kameňa, množstvo baktérií v ňom a toxíny, ktoré produkujú, vyvolávajú v dotknutom ďasne zápal. Je preukázané, že prítomnosť zubného kameňa a zápalu ďasien je škodlivá pre zdravie a zuby (napríklad fokálne ochorenia, predčasné pôrody, srdcové choroby). Čoraz častejšie nás pacienti žiadajú o potvrdenie, že sú bez ohniska infekcie, pretože ich operáciu vykonajú len anesteziológ-surgeon kolegovia za predpokladu, že takéto potvrdenie majú. Pri takomto komplexnom, zdravotnícky orientovanom tímovom prístupe verím, že dôvera pacientov v nás má budúcnosť.
Do zubu pokrytého zubným kameňom sa navyše nedá urobiť kvalitná výplň. Niekedy ani nie je vidieť, kde zub končí a kde začína zubný kameň. Dlhodobo pretrvávajúci zápal ďasien vedie v hlbších vrstvách k úbytku kosti. To spôsobuje rozpad parodontu, uvoľňovanie zubov a ich stratu, ako som už spomínala. Mohla by som tu rozprávať o mnohých ďalších veciach alebo rozobrať niektoré témy podrobnejšie — napríklad význam stomatologického vyšetrenia ohnísk infekcie (zubný kameň je jedným z nich), holistický stomatologický prístup, kondicionovanie detí. Možno si mnohí ani neuvedomujete, prečo je také dôležité, aby dospelý neľízal nič, čo sa dostane do úst dieťaťa — dospelá zrelá flóra okamžite premnoží detskú biomásu. Alebo prečo je dôležité, aby osoba, s ktorou sa bozkávate, mala zdravé zuby. Je tu teda ešte veľa zaujímavých tém a rada prečítam vaše podnety, o čom by ste chceli ešte čítať alebo čo vám nie je jasné v oblasti stomatologickej starostlivosti.
Medzitým nezabudnite: dobrá ústna hygiena je jeden zo základov zdravia, starostlivosti o seba a krásy. Zdravé ďasná sú základom žiarivého úsmevu a sviežeho dychu.
Objednajte sa ku mne!
Objednajte sa ku mne na komplexné dentálne čistenie a staňte sa súčasťou toho, že okrem zachovania vlastných zubov pomôžete chrániť zuby svojich známych, príbuzných a detí, čím dlhodobo ušetríte najviac času, energie a peňazí.
S láskou vás očakávam!
Rák Borbála
[email protected]